9 cliniciens experts du syndrome CACH (VWM), se sont réunis en consortium. Ils représentent les pays du comité international de bonnes pratiques cliniques International Council for Harmonization–Good Clinical Practice guidelines.
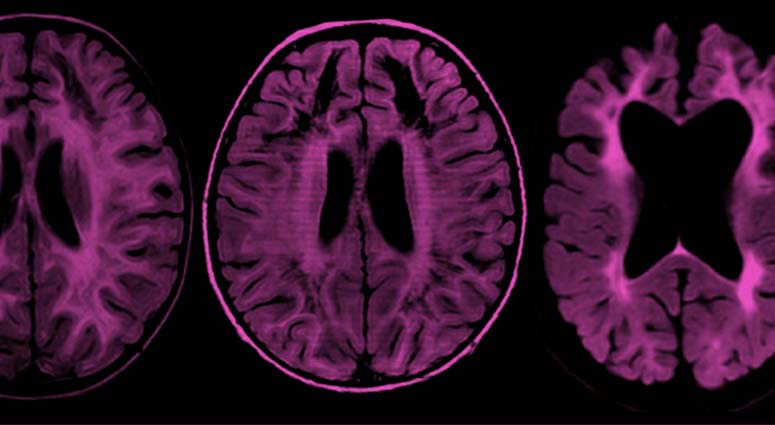
Le syndrome CACH est une maladie génétique de la famille des leucodystrophies hypomyélinisantes, qui présente une dégradation progressive de la substance blanche au niveau du cerveau. Il n’existe pas de traitement aujourd’hui, et seuls des soins symptomatiques sont offerts. Le nombre trop faible de patients connus, l’évolution imprévisible de la maladie, et l’absence de biomarqueur, compliquent la réalisation d’essais cliniques sur le syndrome CACH.
Les experts, en collaboration avec des associations de patients, dont ELA international fait partie, ont mutualisé leurs connaissances de la maladie pour établir des recommandations pour l’amélioration et l’accélération du diagnostic, la mise en place d’essais cliniques et le recrutement des patients.
Ces recommandations ont fait l’objet d’une publication scientifique dans la revue Neurology Genetics.
Van der Knaap et al. 2022. Neurol. Genet.
Ce travail d’équipe formule des recommandations pour :
- Améliorer le diagnostic de la maladie
- Faciliter des études de biomarqueurs
- Elaborer des lignes directrices pour les essais cliniques
- Soutenir le développement de thérapies



